症例紹介
すべての投稿
-
審美治療
歯の変色、前歯被せ物の裏が銀色なのが気になる
詳しく見る-

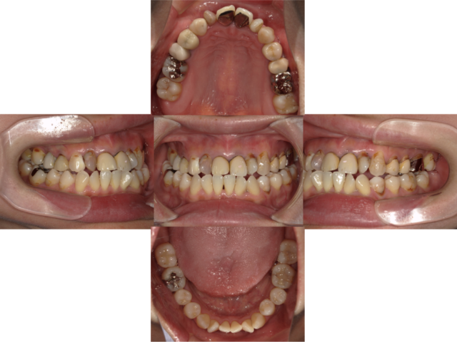
Before
-

After
主訴 歯の変色、前歯被せ物の裏が銀色なのが気になる 年齢・性別 30代女性 治療期間・回数 約10ヶ月 治療方法 ジルコニアクラウン(左上2抜歯して123ブリッジ、右上123単冠) 費用 660,000円(6本) デメリット・注意点 ・歯並びが不揃いなので、左右対称になりにくいです
・色の透明感がないです -
-
ホワイトニング
⻭を⽩くしたい、ホワイトニングをしたい
詳しく見る-

Before
-

After
主訴 ⻭を⽩くしたい、ホワイトニングをしたい 診断名 審美障害 年齢・性別 30代・男性 治療期間・回数 約1ヶ⽉・約3回 治療方法 ホームホワイトニング 費用 40,000(税込) デメリット・注意点 後戻りする事があります。しみることがあります。 -
-
ホワイトニング
歯を白くして見た目良く!
詳しく見る-

Before
-

After
主訴 歯を入れたい・歯を白くしたい 年齢・性別 20代女性 治療期間・回数 約6ヶ月(15回) 治療方法 ホームホワイトニング、オールセラミッククラウン(左上2)、メタルボンドブリッジ(左下) 費用 40,000円(ホワイトニング)、120,000円(オールセラミック)、231,000円(メタルボンドブリッジ) デメリット・注意点 後戻りすることがあります・しみることがあります・ホワイトニング中はタバコや色の濃い食べ物を控えて下さい。
色合わせに回数がかかる場合があります・破折の可能性があります。 -
-
セラミック治療ホワイトニング
前歯の変色を綺麗にし、歯も白く!
詳しく見る-

Before
-

After
主訴 前歯の被せ物をやりかえたい、ホワイトニングもしたい 診断名 審美障害、カリエス 年齢・性別 50代・男性 治療期間・回数 約5ヶ月・約12回 治療方法 ホームホワイトニング、オールセラミッククラウン(左上2)、カリエス治療 費用 40,000円(ホワイトニング)+132,000円(前歯部) デメリット・注意点 破折の可能性があります 色合わせに回数がかかる場合があります -
-
インプラント
失った歯をインプラント治療で取り戻し、ホワイトニングで歯を白く
詳しく見る-

Before
-

After
主訴 歯を入れたい、前歯を綺麗にしたい 診断名 右下欠損、審美障害、カリエス 年齢・性別 40代・男性 治療期間・回数 約1年3ヶ月・約20回 治療方法 インプラント、オールセラミッククラウン、ホームホワイトニング、カリエス治療 費用 ¥400,000(インプラント)+¥396,000(前歯部)+¥40,000(ホワイトニング)+保険診療 デメリット・注意点 インプラント:歯周炎になる可能性があります 破折、2次カリエスの可能性があります -
